Caso clinico di paziente con grave atrofia ossea che ha ritrovato un nuovo sorriso fisso mediante tre tecniche chirurgiche: impianti dentali zigomatici, impianti dentali pterigoidei e impianti dentali All on four
Nei casi di edentulia e grave atrofia è solitamente sconsigliato eseguire una riabilitazione mediante tecniche chirurgiche tradizionali. Negli ultimi anni, i progressi in ambito odontoiatrico, grazie ad innovative metodiche implantari, hanno consentito di restituire un nuovo sorriso fisso anche a quelle persone che non hanno più osso evitando il ricorso a tecniche di innesto d'osso, spesso invasive e con tempi di recupero molto lunghi.
Il caso della paziente di Camaiore (LU), che vi proproniamo in questo articolo, rispecchia in pieno questa problematica. La paziente si è presentata in prima visita con un bocca che presentava diversi problemi. Difatti era già portatrice di protesi fissa su impianti, collocati da un altro professionista, oramai non più idonei a sostenere le protesi a causa di una forte perimplantite. Inoltre, la quantità di osso mascellare era ridottta al minimo e non permetteva il ricorso a tecniche di implantologia convenzionale.


Dopo un'attento studio del caso clinico, il Dr. Cesare Paoleschi ha realizzato un progetto di riabilitazione mediante l'impiego di tre innovative tecniche chirurgiche.
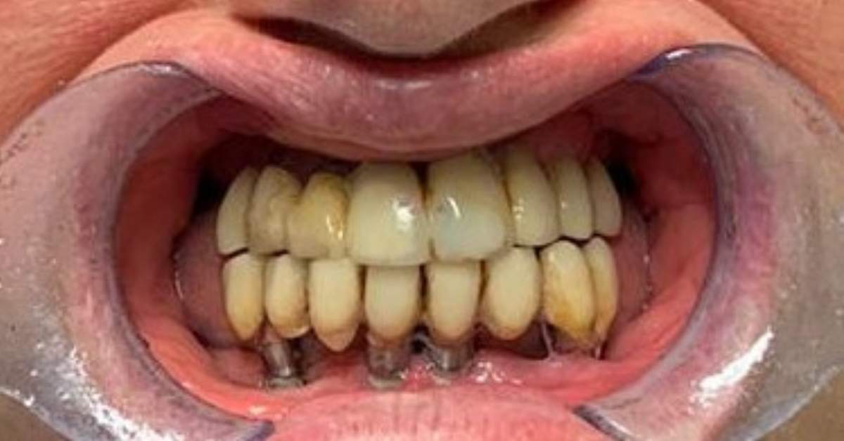
Durante l’intervento chirurgico, eseguito in anestesia generale presso il centro chirurgico Iris di Viareggio, il dr. Cesare ha dapprima estratto i vecchi impianti e successivamente collocato i nuovi. Nell'arcata superiore ha inserito quattro impianti zigomatici e due impianti pterigoidei.
Gli impianti zigomatici sono impianti dentali di dimensioni più lunghe, usati nei casi clinici in cui è presente un forte riassorbimento osseo, che vengono inseriti direttamente nell'osso dello zigomo. Gli impianti pterigoidei sono, invece, impianti dentali, spesso usati insieme agli impianti zigomatici, che vengono inseriti all'interno del piatto pterigoideo, dove la densità ossea offre una stabilità di ancoraggio molto forte.
Nell'arcata inferiore è stata, invece, adottata la tecnica All On Four che ha previsto l'inserimento di soli 4 impianti in una posizione tale da sfruttare al massimo l'osso residuo. In questo caso, dopo una attenta valutazione, è stato possibile eseguire il carico immediato della protesi.

I nuovi denti nell’arcata superiore sono stati invece avvitati a distanza di 6 mesi una volta completato il processo di osteointegrazione. Grazie a questo progetto di riabilitazione la paziente ha recuperato estetica e funzionalità del suo sorriso.

Dopo qualche mese dall'intervento la paziente ha voluto raccontare la sua esperienza in un'intervista nella quale ha ripercorso tutto storia del suo sorriso ritrovato.
Riabilitazione di una grave atrofia mascellare per una paziente che, nonostante la scarsa quantità di osso, grazie agli impianti zigomatici ha ritrovato funzionalità ed estetica della sua bocca
Parliamo della riabilitazione di entrambe le arcate dentarie eseguita, in un unico intervento chirurgico, mediante l’impiego di avanzate tecniche di implantologia.
Grazie alla tecnica di implantologia dentale All on Four, che in italiano significa "tutto su quattro", è possibile riabilitare un'intera arcata dentaria senza denti impiegando solo quattro impianti dentali.
Gli impianti zigomatici sono impianti che vengono utilizzati nella riabilitazione di mascellari affetti da grave atrofia, consentendo al paziente, in un unico intervento chirurgico, di recuperare estetica e funzionalità del proprio sorriso.
Lo scopo di un’otturazione dentale è quello di prendere il posto di dove una volta viveva una carie e di fortificare la struttura del dente, in modo che non diventi soggetto a danni e rotture
L’utilizzo degli impianti dentali ha reso possibile la realizzazione di trattamenti protesici fissi a chi sarebbe stato destinato a una protesi mobile, come un ponte. Vediamo nel dettaglio cosa sono gli impianti dentali e come funzionano
Le protesi sugli impianti sono tutte uguali? Qual è la soluzione più utilizzata e perché? Perché è così importante la protesi a sostegno implantare?
La detartrasi e igiene orale sono gli strumenti fondamentali. Gli effetti di una scorretta igiene orale: la retrazione gengivale. Detartrasi manuale e a ultrasuoni. Ogni quanto si fa la detartrasi? L'igiene dentale per i bambini. Detartrasi e dolore
I frenuli sono piccole strutture presenti nel cavo orale, sono come dei “piccoli fili allungabili” che guidano e rendono possibili i movimenti di lingua e labbra
Capiamo cos'è la carie dentale, quali sono le fasi di questa fastidiosa malattia, quali sono le cause, i sintomi, come arrivare ad una diagnosi e qua è la cura migliore
La sedazione cosciente in è una soluzione indolore e sicura per superare il terrore del dentista. In questo modo, il paziente è sedato ma resta cosciente, così può affrontare il trattamento dentale con una sensazione di piacevole sicurezza
Le faccette sono delle sottili lamine in ceramica che si applicano sulle superfici esterne del dente. Una volta progettate, il loro montaggio è semplice e avviene previa leggera preparazione dei denti
La masticazione ha un ruolo importante per la salute dei nostri denti. Ma non è tutto! È importante anche per la digestione e l’assimilazione dei nutrienti. Masticare correttamente può fare davvero la differenza per il nostro organismo
Riabilitazione di una grave atrofia mascellare per una paziente che, nonostante la scarsa quantità di osso, grazie agli impianti zigomatici ha ritrovato funzionalità ed estetica della sua bocca
Lo sbiancamento dei denti, realizzato da un dentista specializzato, fa tornare bianco e brillante ogni sorriso. Per sbiancare i denti esistono diverse tecniche professionali. Tutte utilizzano agenti chimici non aggressivi, attivati da fonti luminose
Tutti possiamo avere un sorriso da star. Gli inestetismi dentali possono essere corretti con le faccette dentali, ovvero sottili strati di ceramica che applicati su i denti danno nuova forma e lucentezza al sorriso
Via Persio Aulo Flacco 15 -
19100 La Spezia (SP)
Richiedi visita